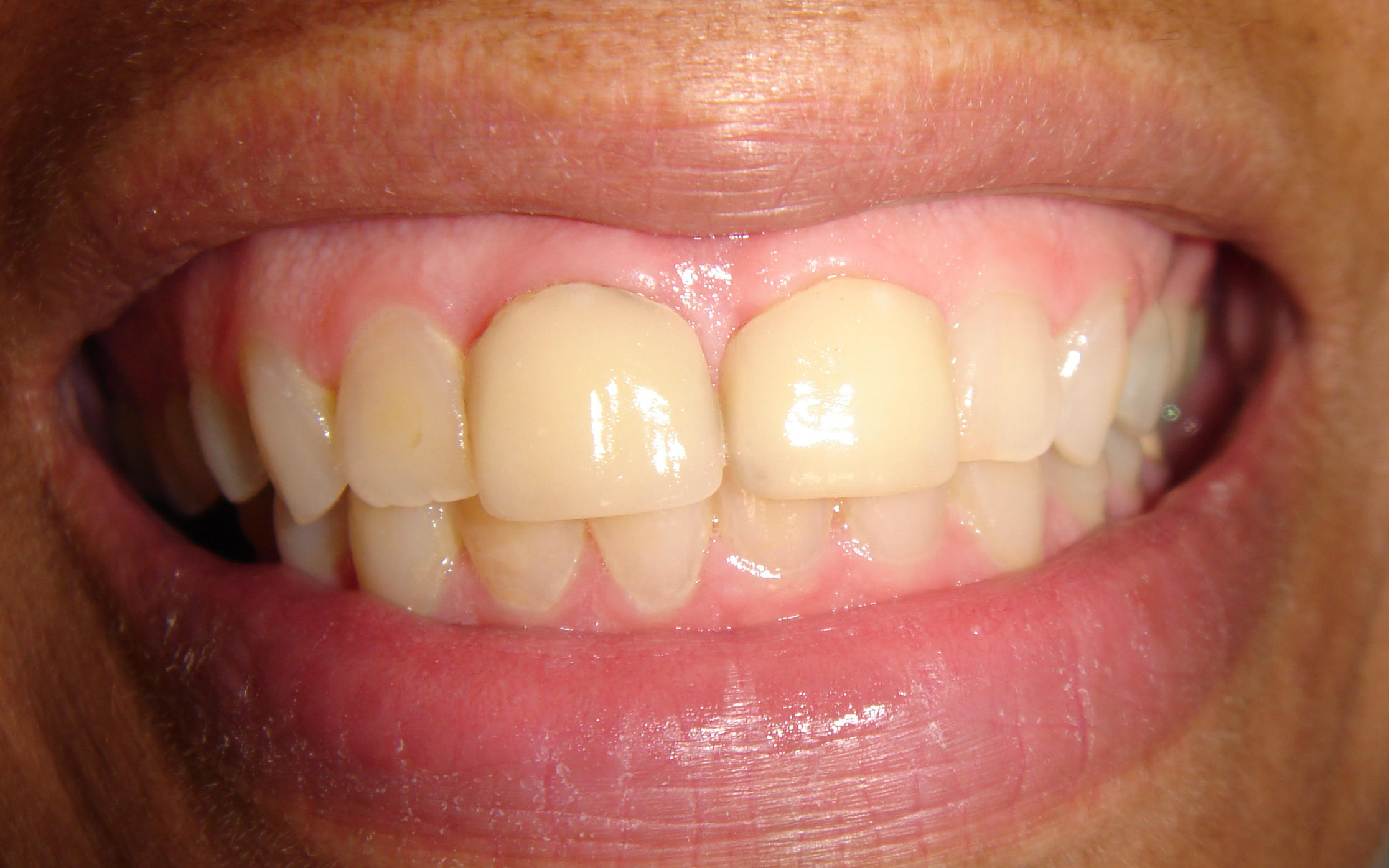
Porcelain Crown and Bridges

When there is not enough tooth structure left, or the chewing demands in the mouth are too great for laminates, a stronger, more extensive restoration is needed. Here we need porcelain jacket crowns. Porcelain jackets are pure porcelain crowns placed on a fully prepared tooth. They are the most life-like of all full crown type restorations. The technique initially consists of preparing the teeth. Next, an impression is taken and then sent to the dental lab where the porcelain jacket is fabricated. Finally, they are placed in the patient’s mouth and permanently cemented onto the teeth. A porcelain bridge is a similar procedure involving teeth on both sides of a space to replace missing teeth.

Before and After Photos